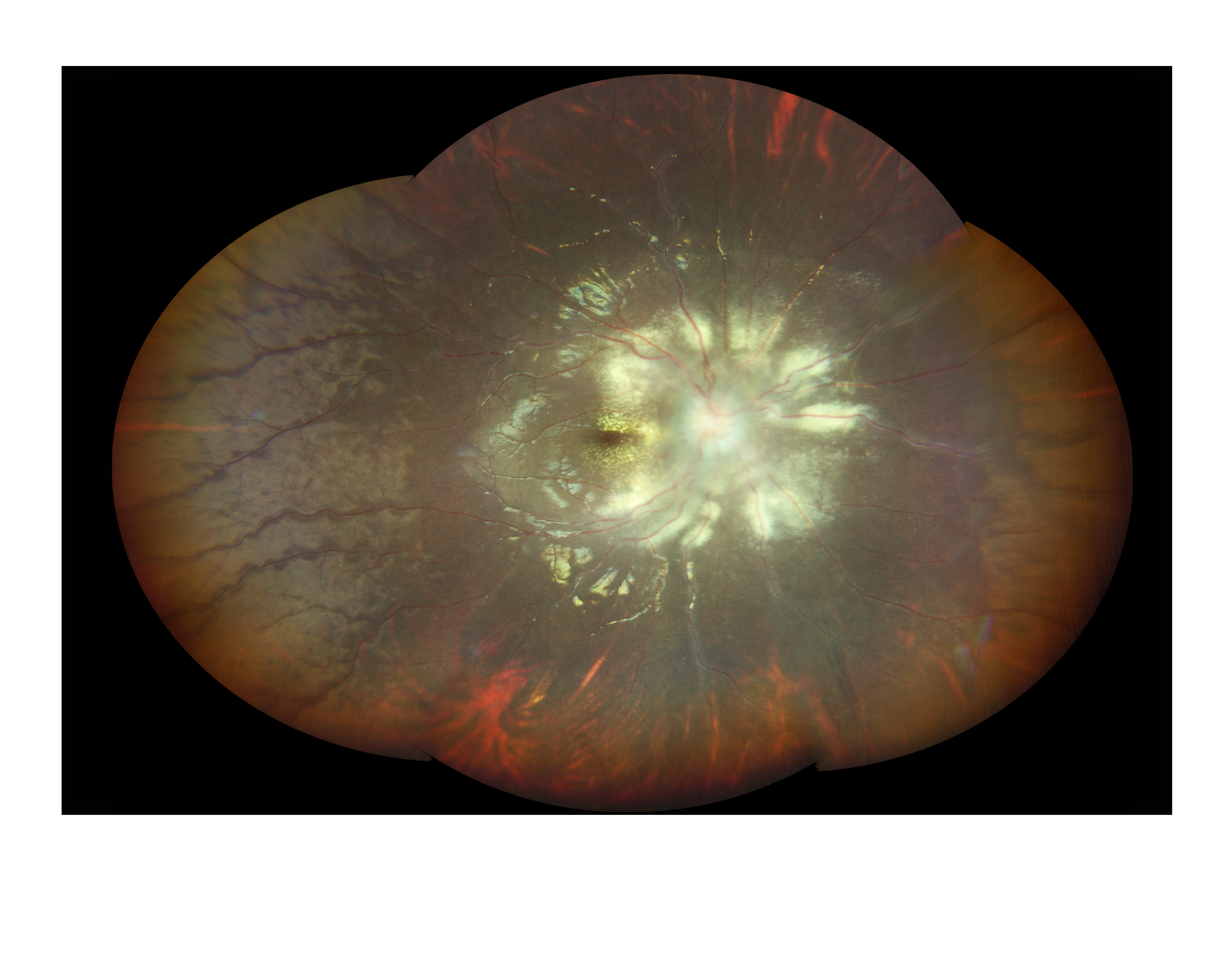
Neuroretinitis Presented by Nipan Yomandee This photograph received Third Place in the category "Composite" and was displayed in the 2024 OPS Exhibit. Filed Under Retina OPS Photo