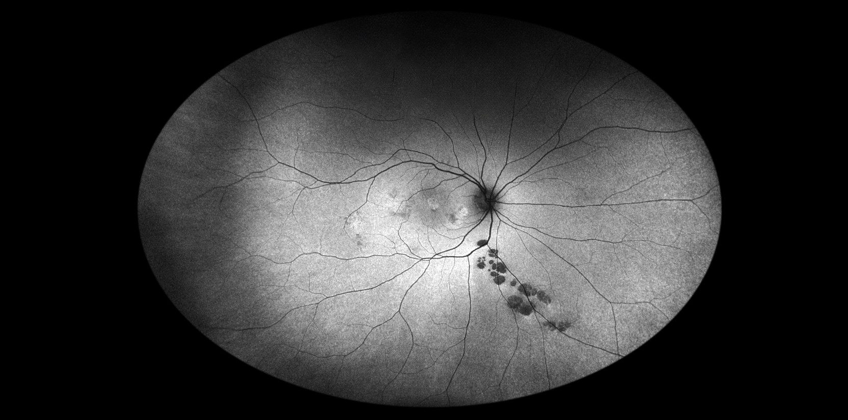
Bear Tracks Presented by Katherine Pippin, CRA This photograph received Third Place, Autoflourescence in the 2025 OPS Scientific Exhibit. Filed Under Retina OPS Photo