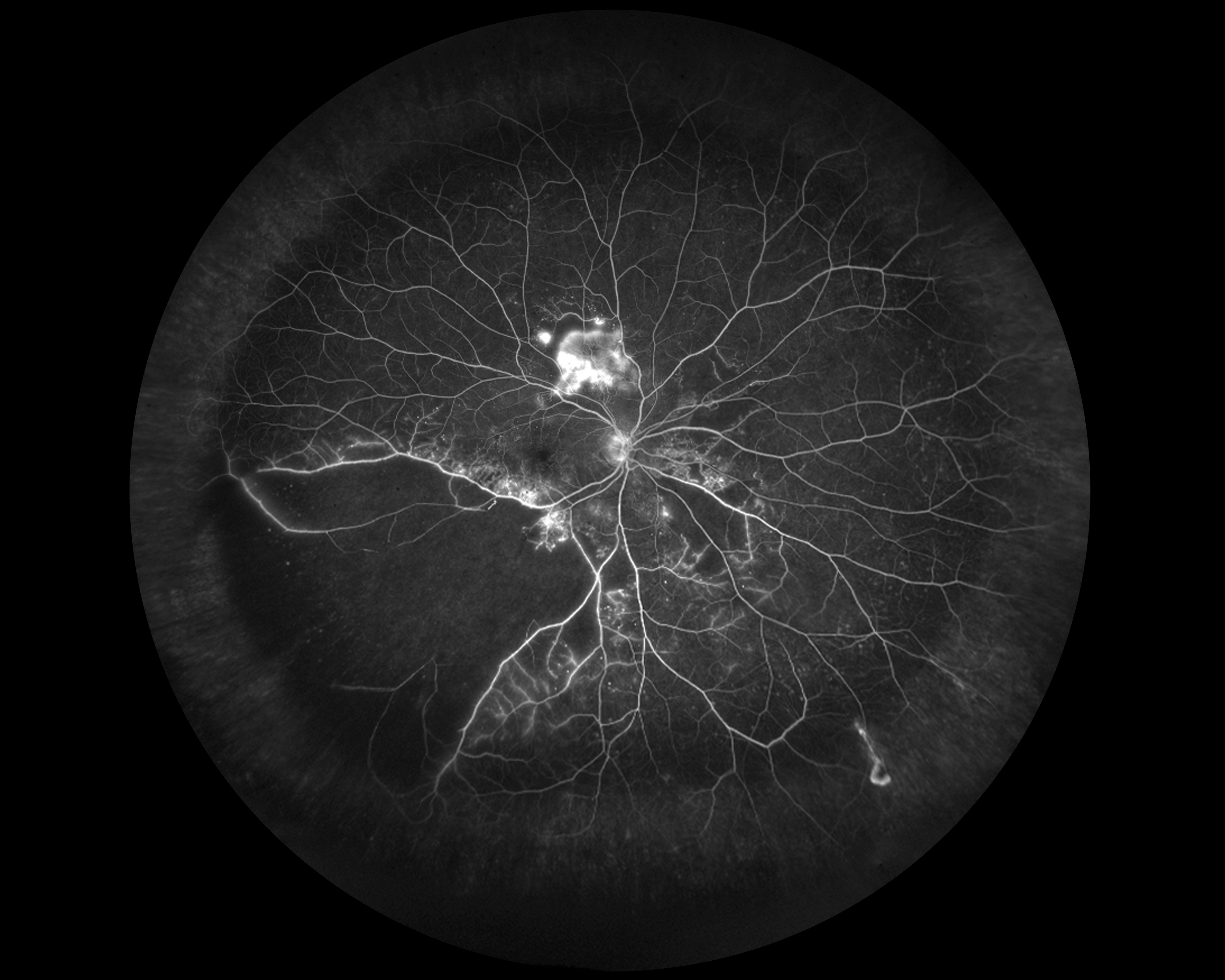
Branch Retinal Vein Occlusions Presented by Kasi Sandhanam This photograph received First Place, Composite in the 2025 OPS Scientific Exhibit. Filed Under Retina OPS Photo