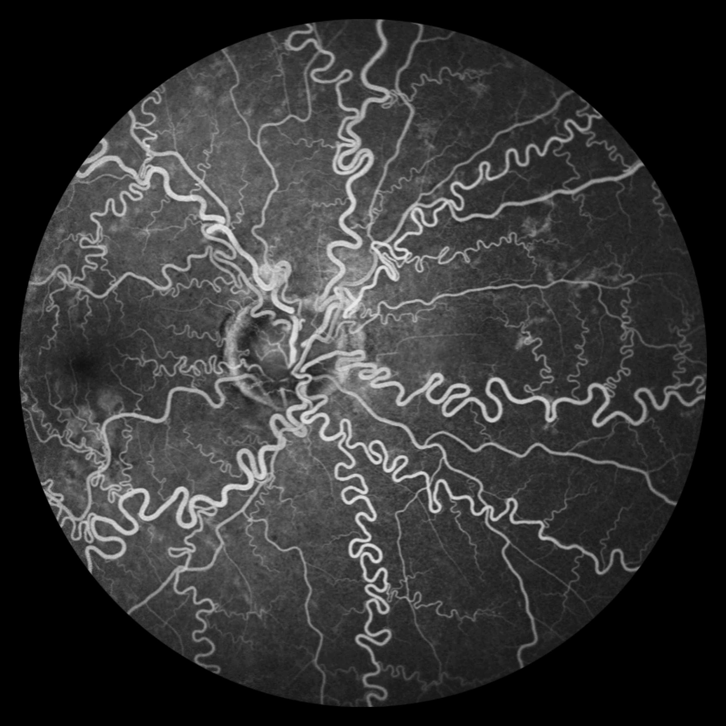
Tortuosity of the Retinal Veins Presented by Barbara Klemenc This photograph received Third Place, Fluorescein Angiography (45° - 60°) in the 2025 OPS Scientific Exhibit. Filed Under Cornea OPS Photo