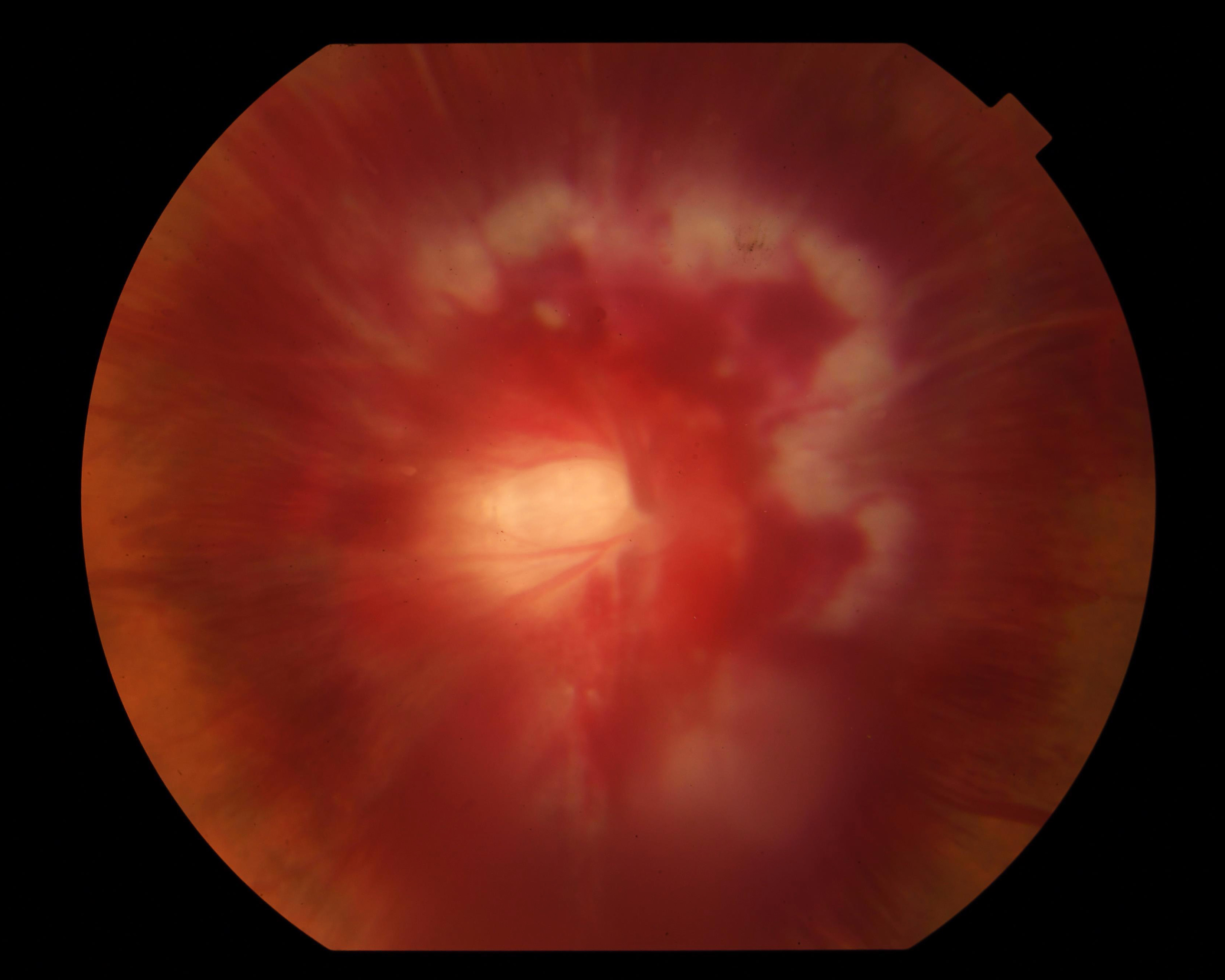
Optic Disc Hemorrhage Presented by Govindarajan Jayaraman This photograph received First Place, Fundus Photography - High Magnification in the 2025 OPS Scientific Exhibit. Filed Under Cornea OPS Photo