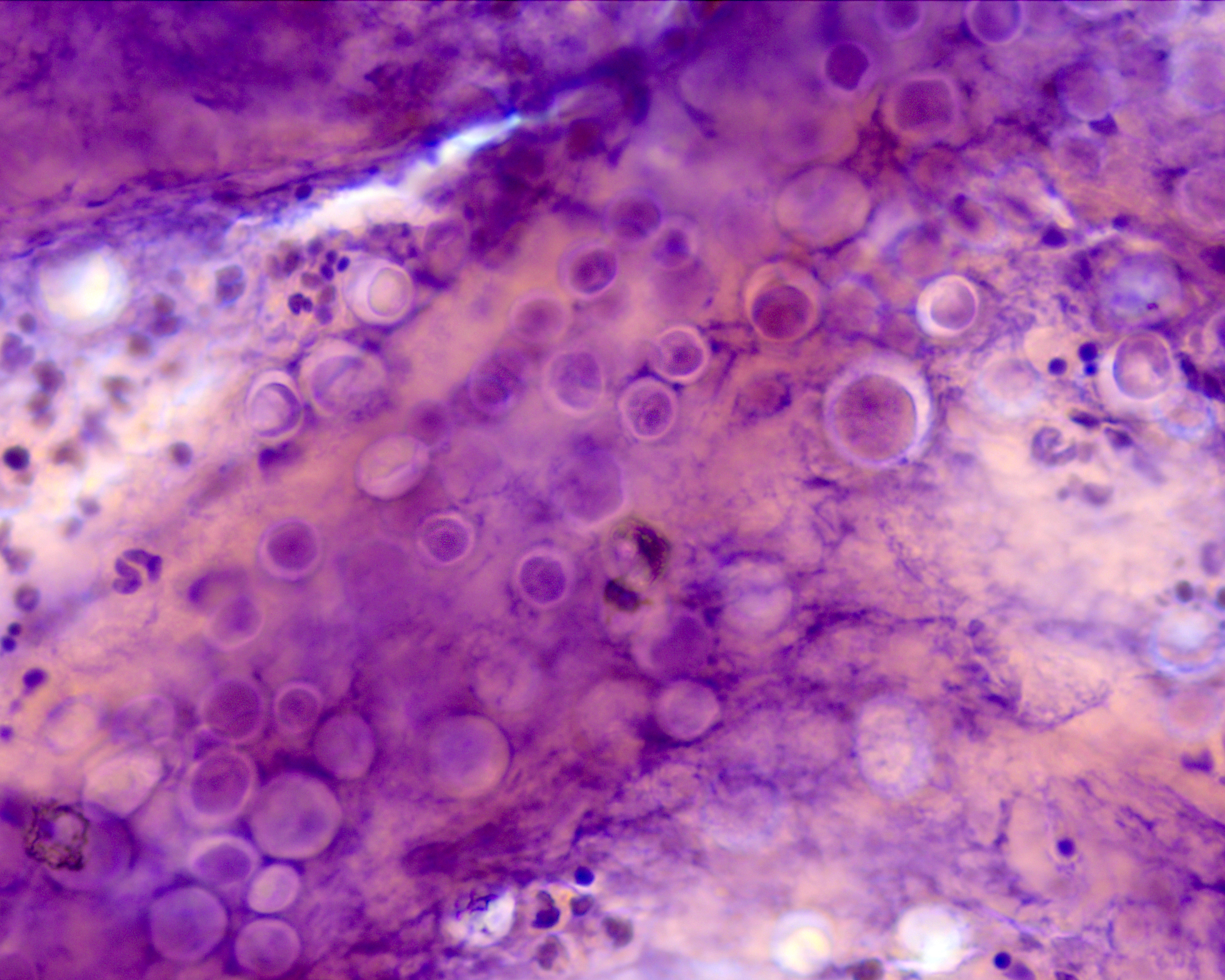
Acanthamoeba Cysts Corneal Scraping H&Ex100 Presented by Ralph C. Eagle, Jr, MD This photograph received Third Place, Light Electron Micrography in the 2025 OPS Scientific Exhibit. Filed Under Retina OPS Photo